The Daily Pulse.

Your source for accurate, unbiased news and insightful analysis

science

What is plate atelectasis

By Rachel Hill |

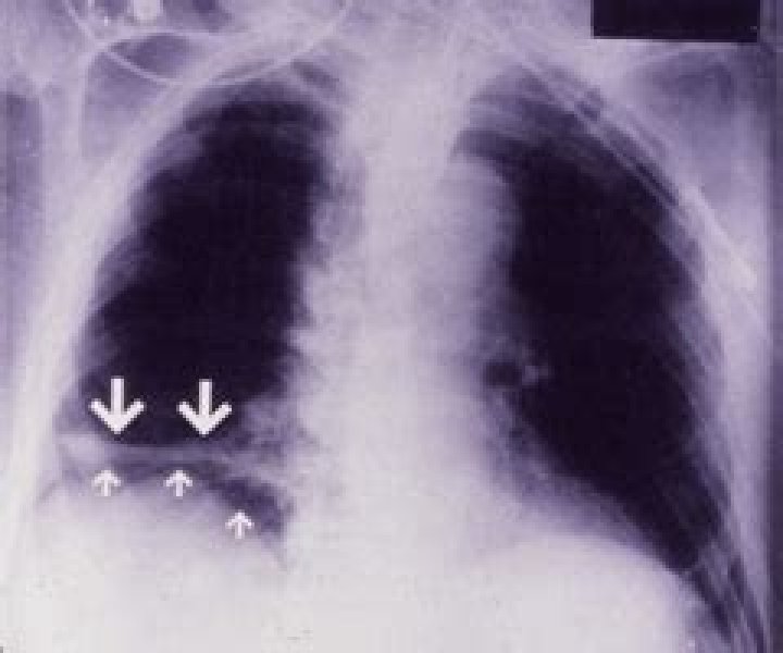
Also called discoid or subsegmental atelectasis, this type is seen most commonly on chest radiographs. Platelike atelectasis probably occurs because of obstruction of a small bronchus and is observed in states of hypoventilation, pulmonary embolism, or lower respiratory tract infection.

Is plate atelectasis serious?

When you breathe in and out, your lungs inflate and deflate like balloons. But if your airways get blocked or something puts pressure on your lungs, they might not inflate the way they should. Doctors call that condition atelectasis. It can be life-threatening in small children or people who have another lung problem.

Does atelectasis mean cancer?

Atelectasis is a common condition with lung cancer. In our study, 36.8% of patients had atelectasis, and 48.3% had atelectasis and obstructive pneumonitis. Those results are in accordance with previous findings (2,6,11).

Should atelectasis be treated?

Atelectasis usually gets better with time or treatment. However, if it is undiagnosed or untreated, serious complications can occur, including fluid buildup, pneumonia, and respiratory failure.

Should I worry about atelectasis?

In an adult, atelectasis in a small area of the lung is usually not life threatening. The rest of the lung can make up for the collapsed area, bringing in enough oxygen for the body to function.

What is mild atelectasis?

Atelectasis (at-uh-LEK-tuh-sis) is a complete or partial collapse of the entire lung or area (lobe) of the lung. It occurs when the tiny air sacs (alveoli) within the lung become deflated or possibly filled with alveolar fluid. Atelectasis is one of the most common breathing (respiratory) complications after surgery.

What causes plate atelectasis?

Also called discoid or subsegmental atelectasis, this type is seen most commonly on chest radiographs. Platelike atelectasis probably occurs because of obstruction of a small bronchus and is observed in states of hypoventilation, pulmonary embolism, or lower respiratory tract infection.

Which type of atelectasis is the most common?

Obstructive atelectasis is the most common type and results from reabsorption of gas from the alveoli when communication between the alveoli and the trachea is obstructed. The obstruction can occur at the level of the larger or smaller bronchus.

What are the 3 types of atelectasis?

There are three major types of atelectasis: adhesive, compressive, and obstructive.

Can atelectasis cause back pain?

Symptoms of Atelectasis and Pneumothorax Sudden, sharp pain in the chest or radiating to the shoulder or back.

Article first time published on

Can lung cancer be mistaken for atelectasis?

Rounded atelectasis is an atypical form of lung collapse that usually occurs adjacent to scarred pleura and can be mistaken for lung cancer.

Can atelectasis cause dizziness?

Shortness of breath. Chest pain that is worse with breathing. Dizziness, weakness, or fainting. Coughing up blood.

Can atelectasis be lung cancer?

Patients with lung cancer can present with postobstructive atelectasis and/or pneumonia secondary to centrally obstructive neoplasms. Typical central primary lung cancers are squamous cell and small cell carcinomas. Atelectasis may be sublobar, lobar or may involve the entire lung.

Does atelectasis mean pneumonia?

Atelectasis is collapse of lung tissue with loss of volume. Patients may have dyspnea or respiratory failure if atelectasis is extensive. They may also develop pneumonia. Atelectasis is usually asymptomatic, but hypoxemia and pleuritic chest pain may be present in certain cases.

What lung sounds do you hear with atelectasis?

  • atelectasis,
  • congestive heart failure (CHF), or.
  • pulmonary fibrosis.

Is atelectasis the same as collapsed lung?

A collapsed lung happens when air enters the pleural space, the area between the lung and the chest wall. If it is a total collapse, it is called pneumothorax. If only part of the lung is affected, it is called atelectasis.

How does bed rest cause atelectasis?

This reduction in airway size, together with pooled mucus and the weight placed on the ribcage, makes breathing more laboured with fewer deep breaths. This can lead to airways and small areas of lung tissue collapsing (atelectasis), which reduces the area available for gaseous exchange (Corcoran, 1981).

Can atelectasis affect blood pressure?

Rapid, shallow breathing. Sharp pain on the affected side, if the symptoms are severe and the blockage occurred quickly. Shock with a severe drop in blood pressure and a rapid heart rate. Shortness of breath, which can be sudden and extreme in severe cases.