The Daily Pulse.

Your source for accurate, unbiased news and insightful analysis

entertainment

What is a Medtronic pacemaker

By David Perry |

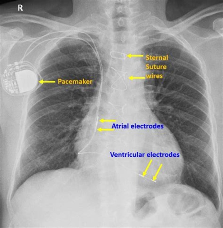
The pacemaker is a small metal case that contains electronic circuitry and a battery. The pacemaker continually monitors the heart and sends an electrical impulse to pace the heart when the heart’s own rhythm is interrupted, irregular, or too slow.

What does a Medtronic pacemaker cost?

Cost of a pacemaker is $5,000 to $10,000 (just for the device, not counting the much larger charge by hospital and physicians for implanting it) and Medtronic says the Revo pacemaker will be in that range.

What is the best brand of pacemaker?

RankCompany% Change1.Medtronic+3.6%2.St. Jude Medical+3.4%3.Boston Scientific+3.3%4.Edwards Lifesciences+7.4%

What are the 3 types of pacemakers?

  • Single-chamber pacemaker.
  • Dual-chamber pacemaker.
  • Biventricular pacemaker.

What is the life expectancy of a person with a pacemaker?

Depending on how much you need to use your pacemaker, the lifespan can vary from anywhere between five to 15 years, and it all depends on how often the pacemaker is delivering the heartbeats.

Are Medtronic pacemakers shielded?

Medtronic heart devices are built with protective shields, so the majority of items that you use or come into contact with will not affect the normal operation of your implanted heart device.

Can you get an MRI with a Medtronic pacemaker?

MRIs are a diagnostic tool for ligament and tissue injuries. Medtronic offers a full portfolio of heart devices, including pacemakers, ICDs, and CRT-Ds approved by the FDA for conditional use with MRI.

Is a pacemaker better than a defibrillator?

What a pacemaker does is keep the heart beating at the proper rate and from beating too slow. It also will only activate if it is needed, it is not shocking people all the time. An implanted defibrillator is a bigger device. It is there to prevent death from a cardiac arrest.

Is there a difference between a defibrillator and a pacemaker?

A pacemaker is a small, battery-operated device that helps the heart beat in a regular rhythm. An implantable cardiac defibrillator is a device that monitors your heart rate and delivers a strong electrical shock to restore the heartbeat to normal in the event of tachycardia.

What is the newest pacemaker?

Micra — the Newest Generation of Pacemaker The Micra pacemaker is a significant breakthrough for patients in many ways, including a streamlined implantation method and an improved quality of life. Micra is about one inch long and one-quarter of an inch wide — 93 percent smaller than traditional pacemakers.

Article first time published on

What is Micra pacemaker?

Micra is single-chamber pacemaker that is about the size of a vitamin and can be implanted directly into the heart, eliminating the need for the leads to also be implanted. The minimally invasive procedure allows electrophysiologists to implant the pacemaker through a catheter in the leg so no chest incision is needed.

Where are Medtronic pacemakers made?

Made in China and Malaysia The overwhelming majority of Medtronic’s products are manufactured in the United States or its trading partners, such as Mexico or Ireland, ” she said in an e-mail to the newspaper.

How much does a Micra pacemaker cost?

Limitations of Micra Device It is estimated the Micra costs about $10,000 per unit. A regular single chamber pacemaker costs $2,500 to $5,000 with another $800 for a single lead. The higher upfront cost may be balanced by the longer battery life (which is practically double that of a conventional pacemaker).

Can you live 20 years with a pacemaker?

Baseline patient characteristics are summarized in Table 1: The median patient survival after pacemaker implantation was 101.9 months (approx. 8.5 years), at 5, 10, 15 and 20 years after implantation 65.6%, 44.8%, 30.8% and 21.4%, respectively, of patients were still alive.

What are the disadvantages of having a pacemaker?

  • Infection near the site in the heart where the device is implanted.
  • Swelling, bruising or bleeding at the pacemaker site, especially if you take blood thinners.
  • Blood clots (thromboembolism) near the pacemaker site.
  • Damage to blood vessels or nerves near the pacemaker.
  • Collapsed lung (pneumothorax)

Do you have to take medications with a pacemaker?

A pacemaker sends electrical pulses to your heart to help it work better. You can’t feel the pulses. If you get a pacemaker, you may still need to take medicines. You’ll also need to follow a healthy lifestyle to help your heart.

How long does Medtronic pacemaker last?

The pacemakers are designed to last anywhere between 6 and 15 years, depending on the device and type of pacing, before a battery replacement is required. The Medtronic devices potentially affected with premature battery depletion include the Azure, Astra, Percepta, Serena, and Solara models.

What is a conditional pacemaker?

Safe scanning of patients with MRI-conditional pacemakers The term “MRI-conditional” is applied to devices that pose no known hazards in a specific MRI environment under specific device and MRI scanner conditions.

What does Mr conditional mean?

Current terminology from the American Society for Testing and Materials (ASTM) International and utilized by the Food and Drug Administration refers to MR conditional as an item that has been demonstrated to pose no known hazards in a specified MRI environment with specified conditions of use.

What does putting a magnet on a pacemaker do?

In most devices, placing a magnet over a permanent pacemaker temporarily “reprograms” the pacer into asynchronous mode; it does not turn the pacemaker off.

Can you ride a rollercoaster with a pacemaker?

“For young healthy people there is no risk for heart attack and arrhythmias from riding a roller coaster.” But people with high blood pressure, a previous heart attack, an implanted pacemaker or defibrillator, and others with proven heart disease, should not ride a roller coaster, researchers said.

Can you have an xray with a pacemaker?

X-rays, such as those used in CT or CAT scans, don’t appear to interfere with pacemakers. Still, always alert the imaging technicians that you have a pacemaker implanted before undergoing a CT or CAT scan.

What is better than a pacemaker?

Like a pacemaker, an implantable cardioverter defibrillator, or ICD, is a device placed under your skin. It also contains a computer that tracks your heart rate and rhythm. The main difference is that if your heart beats way too fast or is very out of rhythm, the ICD sends out a shock to get it back into rhythm.

What is the life expectancy of someone with a defibrillator?

Conclusions: ICDs continue to have limited longevity of 4.9 ± 1.6 years, and 8% demonstrate premature battery depletion by 3 years. CRT devices have the shortest longevity (mean, 3.8 years) by 13 to 17 months, compared with other ICD devices.

Can a defibrillator restart a stopped heart?

To put it simply, an AED will not restart a heart once it has completely stopped because that’s not what it’s designed to do. As discussed above, the purpose of a defib is to detect irregular heart rhythms and shock them back to normal rhythms, not to shock a heart back to life once it has flatlined.

What heart conditions require a defibrillator?

You might need an ICD if you have a dangerously fast heartbeat that keeps your heart from supplying enough blood to the rest of your body (such as ventricular tachycardia or ventricular fibrillation) or if you are at high risk of such a heart rhythm problem (arrhythmia), usually because of a weak heart muscle.

What is the difference between an AED and a defibrillator?

All defibrillators serve the same purpose. They are meant to administer an electrical shock to get the heart beating the way it should. While an AED is a type of defibrillator, it is by no means the only type. … Manual defibrillators have capabilities that automated models do not.

What does an ICD shock feel like?

You may feel a flutter, palpitations (like your heart is skipping a beat), or nothing at all. Fibrillation may require that you receive a “shock.” Most patients say that the shock feels like a sudden jolt or thump to the chest.

Does Medtronic make pacemakers?

Medtronic offers many pacemaker options — please talk with your heart doctor to determine the best pacemaker option for your health situation.

What makes a pacemaker MRI compatible?

For pacemakers and defibrillators, metal “leads” that are similar to wires are implanted in the body and the heart muscle. Leads that come within the MRI scanner’s alternating magnetic field can generate electricity, or heat up, while touching your heart.

Who is a candidate for a wireless pacemaker?

Who is a candidate for a leadless pacemaker? Patients who require pacing mostly from the bottom chamber of the heart are good candidates for leadless pacemakers. Most of these patients have permanent atrial fibrillation and have good heart pump function.